Unsere Praxis ist amalgamfrei. Sämtliche Füllungen werden je nach Grösse aus Komposit (Keramiksplitter in einer Kunststoffmatrix) oder aus reiner Keramik hergestellt.
Karies, ein Zahntrauma oder Überlastung durch Kauen – Kompositfüllungen sind eine bewährte Methode, solche Zahndefekte zu behandeln. Der Eingriff ist minimalinvasiv das Material lässt an die natürliche Zahnfarbe anpassen.
Alte Amalgamfüllungen können entfernt und mit Komposit ersetzt werden.

Alte Amalgamfüllung: Bestehende Amalgamfüllungen werden sorgfältig aus dem Zahn entfernt, um eine sichere und biokompatible Alternative einzusetzen.

Amalgam entfernt: Vor der neuen Füllung wird altes Amalgam vollständig entfernt, um den Zahn optimal für die Versorgung mit Komposit vorzubereiten.

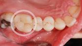
Fertige Füllung vor Politur:
Nach dem Einbringen des Kompositmaterials wird die Füllung anatomisch geformt und angepasst.

Polierte Kompositfüllung: Nach der Aushärtung wird die Füllung auf Hochglanz poliert, um eine glatte Oberfläche zu gewährleisten, die Plaqueablagerungen minimiert und für ein angenehmes Mundgefühl sorgt.
Für grössere Defekte ist Keramik aufgrund ihrer Stabilität und Haltbarkeit die beste Wahl. Keramikfüllungen sind besonders langlebig, biokompatibel und kaum von der natürlichen Zahnsubstanz zu unterscheiden.

Zementiertes Keramikoverlay: Die individuell angefertigte Keramikfüllung wird mit einem speziellen Zement dauerhaft im Zahn verankert, sodass sie perfekt sitzt und belastbar ist.

Keramikoverlay:
Ein Keramikoverlay bedeckt grössere Zahndefekte. Es wird eingesetzt, wenn noch genug Zahnhartsubstanz vorhanden ist und noch kein Zahnersatz in Form von einer Krone nötig ist.