Die rekonstruktive Zahnmedizin umfasst alle Massnahmen zum Ersatz und zur Wiederherstellung fehlender oder stark geschädigter Zähne. Sie deckt die Bereiche Implantologie, festsitzende und abnehmbare Prothetik sowie die ästhetische Zahnmedizin ab.
Ziel ist es, die Funktion und Ästhetik des Gebisses zu erhalten oder wiederherzustellen, damit Patienten wieder unbeschwert kauen, sprechen und lächeln können. Je nach individuellem Befund stehen verschiedene Behandlungsmöglichkeiten zur Verfügung.
Ein stark beschädigter oder verloren gegangener Zahn kann durch eine Krone oder Brücke ersetzt werden. Kronen werden auf den vorhandenen Zahnstumpf gesetzt und schützen den Zahn, während Brücken Zahnlücken durch künstliche Zähne schliessen, die auf benachbarten Zähnen oder Implantaten befestigt sind.
Zahnimplantate bieten eine moderne Lösung für den Ersatz einzelner Zähne oder ganzer Zahnreihen. Sie verhindern den Knochenabbau im Kiefer, benötigen kein Beschleifen gesunder Nachbarzähne und bieten langfristig eine stabile, natürliche Lösung.
Für Patienten mit mehreren fehlenden Zähnen oder zahnlosem Kiefer bieten Teil- oder Totalprothesen eine Alternative. Während Teilprothesen an verbleibenden Zähnen befestigt werden, haften Totalprothesen durch Saugwirkung an der Schleimhaut. Für besseren Halt können sie mit Implantaten kombiniert werden, um mehr Stabilität und Tragekomfort zu gewährleisten.
Veneers sind hauchdünne Keramikschalen, die auf die Vorderseite der Zähne aufgebracht werden. Sie eignen sich besonders zur Korrektur von Verfärbungen, kleinen Fehlstellungen oder abgebrochenen Zahnecken und sorgen für ein natürlich schönes Lächeln. Dank moderner Materialien sind Veneers langlebig und kaum von echten Zähnen zu unterscheiden.
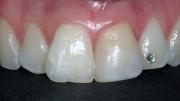
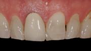
Behandlung einer Patientin mit Zahnschmelzanomalien (Amelogenesis imperfecta)



Behandlung einer Patientin mit Zahnschmelzanomalien (Amelogenesis imperfecta)



Prothesen ersetzen fehlende Zähne und stellen die Kaufunktion sowie die Ästhetik wieder her. Ob Teil- oder Totalprothese – wir finden für Sie die passende Lösung. Moderne Materialien und passgenaue Fertigung sorgen für hohen Tragekomfort und eine natürliche Optik. Für mehr Halt und Sicherheit können Prothesen auch auf Implantaten verankert werden.






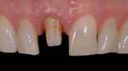
Kronen kommen dann zum Einsatz, wenn ein Zahn so stark beschädigt ist, dass eine einfache Füllung nicht mehr ausreicht. Sie umschliessen den Zahn komplett und stellen seine Form, Stabilität und Funktion wieder her. Je nach Bedarf werden Vollkeramik- oder Metallkeramikkronen eingesetzt, die ästhetisch ansprechend und belastbar sind.
VMK Krone auf wurzelbehandelten Zähnen





Vollkeramikkrone auf vitalen Zähnen




In komplexen Fällen, bei denen mehrere Zähne ersetzt werden müssen, kommen Kronen- und Brückensysteme zum Einsatz. Dabei wird nicht nur die Ästhetik, sondern auch die optimale Funktion des gesamten Gebisses berücksichtigt. Eine präzise Planung und enge Zusammenarbeit mit Zahntechnikern ermöglichen eine langlebige und individuell angepasste Lösung.